
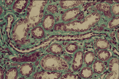
腎臓 25. 髄質の外帯の内層.
ヒト、ブアン液で固定、パラフィン包埋、M-G染色、x 300.
これは髄質の外帯の内層で、ここにはもはや主部の直部は見られず、ヘンレの
ループの細い部分と太い部分、及び集合管が見られるのみである。画面の中央
部を横に走っている細い管がヘンレのループの細い部分である。画面の中央下
部と左上部にある、明瞭な細胞境界を示し、明るい胞体を持った立方上皮で縁
取られた太い管が集合管、それ以外の管はほとんど全部ヘンレのループの太い
部分である。-------------------------------------------------------------------------------
Kidney
25. Inner layer of the outer zone of renal medulla.
Human, fixation with Bouin’s fluid, embedding with paraffin, M-G stain, x 300.
This
is the inner layer of the outer zone of the renal medulla. Here the straight-----------
portions of the proximal tubules exist no longer and the thin portions as well as the------
thick
portions of the loop of Henle and the collecting tubules are seen. In the
middle――
one long thin portion of loop of Henle runs horizontally and at lower middle there---------
are
two sections of collecting tubule. At upper left one longitudinally sectioned
collecting-
tubule is also noted evidently. Others are mostly sections of the thick portions of loop――
of
Henle.------------------------------------------------------------------------------------------------------