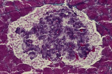
膵臓 11.膵島 4.

ラット、ツェンカー−フォルマリンで固定、パラフィン包埋、
アルデヒドフクシン-AZAN染色、x 100.
この標本はβ細胞の特殊顆粒をアルデヒドフクシンで濃い紫色に
-
染めたものである。ラットではβ細胞が膵島の中心部にかたまる
--
傾向を示す。α細胞の特殊顆粒はこの染色では染まらない。
-----
β細胞はインスリンを分泌する。
-----------------------------

Pancreas 11. Islet of Langerhans 4.

Rat, fixation with Zenker-formalin, embedding with paraffin,
aldehyde fuchsin AZAN stain, x 100.
In this specimen specific granules in β-cells stain deep violet,
-
whereas that of α-cells remain colorless. The β-cells secrete
the insulin. In rat, β-cells locate mainly in the central part of
--
the islet.
----------------------------------------------

戻る