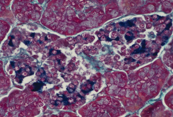
膵臓 15. 膵島 8.

ヒト、ブアン液で固定、パラフィン包埋、ヴィクトリアブルー-フロ
キシン染色の後ライトグリーンで染色、x 160.
---------------
この染色法ではβ細胞(濃青色)とα細胞(赤色)の識別は容易で
---
あるが、D細胞の識別は容易でない。この切片に隣接する切片に
----
D細胞を特異的に染め出す鍍銀法を施したものを、膵臓16に示す。
--

Pancreas 15. Islet of Langerhanns 8.

Human, fixation with Bouin's fluid, embedding with paraffin,
Victoria blue and phloxin and lightgreen stain, x 160.
Using this method differentiation between β-cells(deep blue)
--
and α-cells(red) is easy but identification of D-cells is difficult.
To recognize the D-cells some special methods are required.
---
One example is shown in Pancreas 16.
----------------------

戻る