膵臓 7. 外分泌部 5.

ヒト、ブアン液で固定、パラフィン包埋、H-E染色、x 160.
これは膵臓 3~5 と同じ膵臓の標本の中の、分泌顆粒がほとんど見られず、
-
従って赤い色調に乏しい部分である。画面の中央の大きな腺房では、腺腔
--
が比較的広く、そこから始まる介在部が明瞭に認められる。腺房を囲む腺房
中心細胞も明らかである。
------------------------------------------


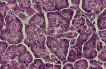
Pancreas 7. Exocrine portion 5.

Human, fixation with Bouin's fluid, embedding with paraffin, H-E stain, x 160.
This is the same specimen as Pancreas 3~5, but this portion contains very
-
few zymogen granules so that red hue is very faint. In the big acinus locating
in the center, we can easily recognize the acinar lumen, surrounded by
----
centroacinar cells, and an intercalated duct begins therefrom.
----------

戻る