
精巣37.精丘.
サル、SUSA液で固定、セロイディン包埋、H-E染色、x 10.
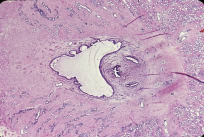
これは精丘を通る前立腺の水平断面であり、画面の左が前、右が後ろである。-
尿道は前立腺の前方部を上から下に向かって貫通しており(尿道前立腺部)、--
その後壁の中央部は尿道に向かって小丘状に高まっている。これが精丘であ---
る。精丘の基部の上下に見られる細長い管が射精管、精丘の中央部の星形の---
腔所は前立腺小室である。前立腺小室は発生早期のミュラー管の名残である。
射精管はその名に反して、この図に見られるように、その壁に筋層を持たず、
精液を射出する機能を持たない。-------------------------------------------------------
Testis
37. Colliculus seminalis.
Monkey, fixation with SUSA-fluid, embedding with celloidin,H-E stain, x 10.
This is a horizontal section of the prostata through the colliculus seminalis.--
The urethra pierces the anterior portion of the prostata from top to bottom--
and
at its middle portion the posterior wall protrudes into the lumen as the--
colliculus seminalis. From its top a small outpocketing, utriculus prostaticus,
appears backward. This is the rudiment of Mullerian canal. At lower end of--
the colliculus seminalis a pair of ejaculatory ducts opens into the urethra.----
Though of the name, ejaculatory duct has no musculature in its wall, so that
it has no ejaculatory function. In this figure right to the utriculus prostaticus
a pair of ejaculatory ducts is seen.-------------------------------------------------------