
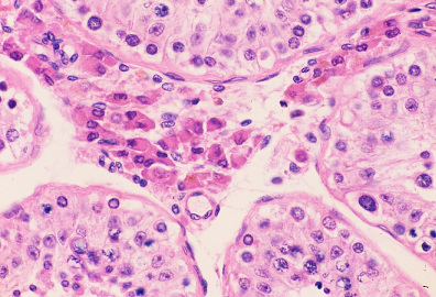
精巣4.ライディッヒの間細胞.
ヒト、ブアン液で固定、パラフィン包埋、H-E染色、x 400.
上下左右5個の曲精細管に囲まれた空間の中に存在する多数の赤く染まった細胞が
間細胞であり、細胞間には大小の血管が見られる。間細胞の核は卵円形で大きく、
その周囲の豊富な細胞質は酸性染料に濃染する。これは高度に発達した滑面小胞体-
による。間細胞はテストステロンをはじめとする男性ホルモンを分泌する内分泌細-
胞である。------------------------------------------------------------------------------------------
Testis
4. Interstitial cells of Leydig.
Human, fixation with Bouin’s fluid, embedding with paraffin, H-E stain, x 400.
In the middle, surrounded by 5 seminiferous tubules, there are numerous ---------------
interstitialcells of Leydig, among that capillary vessels penetrate. Each interstitial------
cell
has a large round nucleus and plenty cytoplasm showing intense affinity to --------
acid dyes. This is caused by the highly developed smooth surfaced endoplasmic ---------
reticulum. The interstitial cells of Leydig secrete the male sex hormone, testosterone,--
that means, they are endocrine cells.----------------- ----------------------------------------------