
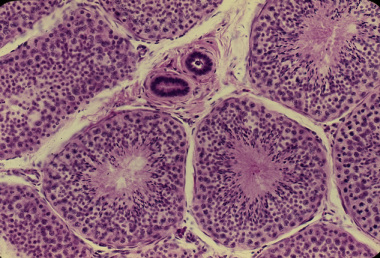
精巣5. 曲精細管と直精細管.
サル、SUSA液で固定、セロイディン包埋、H-E染色、x 200.
曲精細管を縁取る精子形成細胞群は死後変化が早いので、ヒトの標本では、
通常細胞の保存があまり良くない。これは麻酔したサルの精巣をSUSA液で
固定した標本で、細胞の固定が非常に良い。図の中央上部に2個並んでいる-
管が直精細管で、それ以外は全て曲精細管である。--------------------------------
Testis 5. Tubuli seminiferi
contorti and recti.
Monkey, Fixation with SUSA fluid, embedding with celloidin, H-E stain, x 200.
Seminiferous cells lining the seminiferous tubules are easy to sustain the post------
mortem degeneration, so that in human well preserved ones are difficult to obtain.
This is a very well preserved monkey testis. Upper middle there are two sections---
of the tubuli seminiferi recti, and others are all tubuli seminiferi contorti.-------------