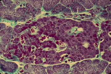
膵臓 10. 膵島 3.

サル、ツェンカー・フォルマリン液で固定、パラフィン包埋、AZAN染色、x 160.
これはAZAN染色の標本で、α細胞の特殊顆粒が赤く染まっている。
--
しかしβ細胞の特殊顆粒は染まっていない。緑色に染まっているのは
-
結合組織繊維である。α細胞はグルカゴンを分泌する。
------------

Pancreas 10. Islet of Langerhans 3.

Monkey, fixation with Zenker-formalin, embedding with paraffin, AZAN stain, x 160.
This is an AZAN stained specimen, in which the α-cells are stained red,
------
but theβ-cells, on the contrary, not so stained. Connective tissue fibers stain
green. The α-cells secrete the glucagon.
--------------------------------

戻る