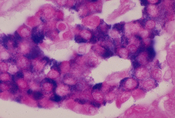
膵臓13-1. 膵島6.

ヒト、ブアン液で固定、パラフィン包埋、ヴィクトリアブルー-フロ
キシン染色、x 330.
------------------------------------
これは膵臓12-1の強拡大である。β細胞の胞体内の特殊顆粒はヴィクト
--
リアブルーによって濃青色に、α細胞のそれはフロキシンによって赤く
-----
染まっており、明瞭に識別できる。また画面の中央上部に、胞体が無色に
--
抜けて見える3個の細胞が認められるが、これがD細胞である。
----------

Pancreas 13-1. Islet of Langerhans 6.

Human, fixation with Bouin's fluid, embedding with paraffin,
Victoria blue and phloxin stain, x 330.
This is high power magnification of Pancreas 12-1. We can easily
differentiate β-cells, stained deep blue with Victoria blue, from
-
α-cells, stained red with phloxin. At top middle of this figure
----
there are 3 colorless lucent cells, the D-cells.
-----------------

戻る