
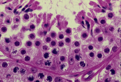
精巣10. 精子形成2.
サル、ブアン液で固定、パラフィン包埋、H-E染色、x 750.
ここに見られるのは分裂中の精粗細胞と精娘細胞と精子組織形成の途上の精子------
細胞である。画面中央下部に4個のセルトリー細胞が狭い間隔をおいて立ち並び、-
それぞれの左右に精娘細胞が接している。成熟分裂では、精娘細胞である期間は-----
短くて、精母細胞の分裂によって生じた精娘細胞は休止期を持つことなく、直ち----
に第二成熟分裂を行って精子細胞となる。従って切片標本上で精娘細胞を確認す----
ることは、必ずしも容易でない。「精巣8」で述べたように、精母細胞と精娘細胞----
が同一の区画内に共存することはなく、また精娘細胞と精子細胞とが同一の区画-----
内に共存することもない。この図で基底膜の近くに見られる分裂中期の核は、精-----
粗細胞の核である。--------------------------------------------------------------------------------
Testis
10. Spermatogenesis 2.
Monkey, fixation with Bouin’s fluid, embedding with paraffin, x 750.
Here
spermatogonia, the secondary spermatocytes, and spermatids performing-----
the
spermatohistogenesis are recognized. Near the basement membrane there------
are 4 or 5 spermatogonia in mitosis. Numerous round cells with middle-sized round
nucleus are all the secondary spermatocytes. The secondary spermatocytes perform
soon the second meiotic division to become spermatids (haploids). Thus coexistence--
of primary and secondary spermatocytes and also that of second spermatocytes and
spermatids, in one same component do not take place.---------------------------------------