
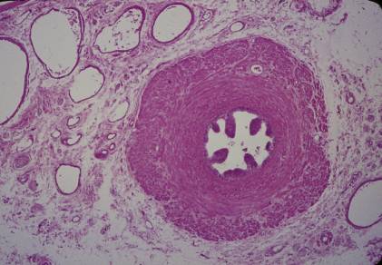
精巣28.精管1.
ヒト、フォルマリン固定、パラフィン包埋、H-E染色、x 30.
精管は精巣上体管の遠位端に続いて、精巣上体の後下端部に始まり、
陰嚢の後部を上昇し、鼠径管を通って骨盤腔に入り、膀胱の後下部
において前立腺を後ろから前に向かって貫いて尿道に開口する。精
管の壁は管腔を同心円状に取り巻く粘膜・粘膜下組織・筋層・及び
外膜によって構成される。粘膜は粘膜上皮とこれを裏打ちする疎性
結合組織(粘膜固有層)からなるが、粘膜固有層の結合組織はごく
少量で、粘膜と筋層の間では粘膜下組織と一体になっている。筋層
は非常に厚く、内縦・中輪・外縦の3層が区別される。外膜は疎性
結合組織で、多数の小血管と神経を含む。------------------------------
Testis
28. Ductus deferens 1.
Human, fixation with formalin, embedding with paraffin, H-E stain, x 30.
Ductus
deferens begins at lower end of epididymis, continuing with the ------------
Distal end of the ductus epididymidis, runs upwards
in the posterior portion -----
Of
thescrotum, goes through the inguinal canal and attains to the posterior --------
Aspect of the prostata. Then it penetrates the prostata postero-anteriorly and -----
opens into the urethra, as ductus ejaculatorius. The wall of the ductus deferens --
consists of 4 concentric layers, i.e. mucous membrane, tela submucosa, tunica -----
muscularis and tunica adventitia. The mucous membrane consisting of epithelium
and scanty underlining connective tissue protrudes numerous longitudinal folds --
into
the lumen. Tunica muscularis is very thick and consists of 3 layers, i.e. --------
inner
longitudinal, middle circular, outer longitudinal. Tunica adventitia is ----------
loose connective tissue, containing numerous small blood vessels and small --------
nerves.-----------------------------------------------------------------------------------------------