
精巣35.前立腺3.
ヒト、ブアン液で固定、パラフィン包埋、H-E染色、x 500.
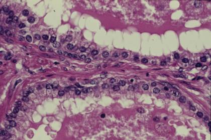
「精巣34」の拡大。前立腺の腺腔を囲む上皮は単層または2列の円柱--
上皮細胞で、細胞の丈は機能状態によって立方状から丈の高い円柱状--
の間で変化する。腺と腺の間の結合組織の中には多量の平滑筋繊維が--
存在する。-------------------------------------------------------------------------
Testis
35. Prostata 3.
Human, fixation with Bouin’s fluid, embedding with paraffin, H-E stain, x 500.
Higher magnification of “Testis 34”. The epitheliar cells encircling the-------
lumen is simple columnar or pseudostratified columnar of 2 rows of nuclei.
Form
and hight of cells change between high columnar and low cuboidal---
according
to the functional state. In the interstitial connective tissue there-
are a lot of smooth muscle fibers.------------------------------------------------------