
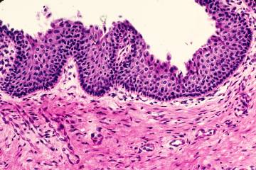
子宮13.膣の上皮.
ヒト、フォルマリン固定、セロイディン包埋、H-E染色、x 200.
膣は左右に広く前後に圧平された管状の器官で、交接器であると同時に産道の-----
一部をなす。膣の上皮は厚い重層扁平上皮で、通常は角化を示さず、最表層の細---
胞においても核が明瞭に認められる。上皮細胞は一般に疎面小胞体に富み、H-E---
染色では暗調に染まるが、表層部の細胞は多量のグリコーゲンを含むようになり、
これが標本製作過程で抜け落ちるので、明るく抜けて見える。表層の細胞は次々---
に剥離・脱落し、これによって放出されたグリコーゲンは、膣内に住み着いてい---
るデーデルラインの桿菌によって分解されて乳酸となり、膣内を強い酸性に保つ---
ことに寄与する。この図では、暗調に染まった上皮細胞とそれを裏打ちする基底----
膜とが明瞭である。上皮下の粘膜固有層では結合組織は比較的緻密であり、深部---
には筋層の平滑筋繊維が進入している。-----------------------------------------------------
Uterus
13. Epithelium of Vagina.
Human, fixation with formalin, embedding with celloidin, H-E stain, x200.
The
epithelium of the vagina is stratified squamous and shows no keratinization.-
Even
in the most superficial cells nuclei are clearly seen. The cytoplasm of the----
epitheliar cells is rich in rough surfaced endoplasmic reticulim and is stained dark-
with
hematoxylin. The superficial cells become rich in glycogen and after their----
dropping
out, the glycogen is utilized to produce the lactic acid, that keeps the------
lumen
of vagina at high acidity. In this figure the dark stained cytoplasm of the----
epitheliar
cells and underlining basement membrane are evident.---------------------