精巣-testis-
画像をクリックしてください

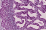
精巣 1. 矢状断全景. |

精巣2.曲精細管の概観. |

精巣3.曲精細管と間細胞. |

精巣4.ライディッヒの間細胞. |

精巣5. 曲精細管と直精細管. |

精巣6. 曲精細管より直精細管へ. |

精巣7. 曲精細管1. |

精巣8. 曲精細管2. |

精巣9. 精子形成1. |

精巣10. 精子形成2. |

精巣11. 精子形成3. |

精巣12.精子組織形成1. |

精巣13.精子組織形成2. |

精巣14.精子組織形成3. |

精巣15.精子組織形成4. |

精巣16.精子組織形成5. |

精巣17.曲精細管3. |

精巣18.精娘細胞と精子細胞. |

精巣19.曲精細管より直精細管へ2. |

精巣20.精巣網. |

精巣21.精巣網より精巣輸出管へ. |

精巣22.精巣網から精巣輸出管へ 2. |

精巣23.精巣輸出管1. |

精巣24. 精巣輸出管 2. |

精巣25.精巣輸出管から精巣上体管へ. |

精巣26.精巣上体管 1. |

精巣27.精巣上体管2. |

精巣28.精管1. |

精巣29.精管2. |

精巣30.精索. |

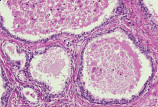
精巣31.精嚢1. |

精巣32.精嚢2. |

精巣33. 前立腺1. |

精巣34.前立腺2. |

精巣35.前立腺3. |

精巣36.前立腺石. |

精巣37.精丘. |

精巣38.尿道球腺. |

精巣39.陰茎1. |

精巣40.陰茎2.(男性尿道). |